Estetica Dentale Salerno
Pratica di Estetica Dentale a Salerno
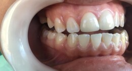
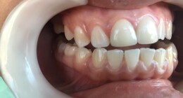
Lo specchio è un nostro fidato amico ma non sempre, per questo noi dello Studio Rega siamo in grado di garantirti i migliori risultati per un sorriso che sicuramente non passerà inosservato. Curare i tuoi denti è importante per farti sentire meglio con te stesso e con gli altri.
Estetica dentale o cosmetica dentale migliora l’aspetto dei denti?
Con l’utilizzo di tecniche personalizzate e terapia laser ripristiniamo il bianco dentale garantendoti il naturale colore dello smalto.
- Caffè, tè o vino rosso: queste bevande, consumate in quantità elevate, posso alterare e modificare il colore naturale dei denti.
- Farmaci: particolari cure farmacologiche, spesso provocano un’alterazione del colore dello smalto dentale.
- Fumo: all’interno delle comuni sigarette troviamo il catrame, spesso responsabile delle macchie che si formano sulla superfice dentale.
Ricorda: “Il sorriso è il tuo biglietto da visita!” Crea il tuo con i servizi di Estetica Dentale dello studio Rega a Baronissi (provincia di Salerno).




